Curious about our family and our ministries through IMB? Checkout this short media presentation to get to know us.
Sign-up for our Quarterly Newsletter
If you’d like to receive our quarterly newsletter from West Africa via email, click to sign up!
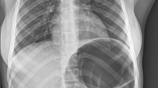
Cecal Volvulus
A teenage girl with vague abdominal symptoms was found to have cecal volvulus on imaging. Prompt recognition and surgical intervention led to a successful outcome.
2025 Family Photos
It’s been 18 months since we had a proper family photoshoot about time to setup the tripod!
2025 Christmas Tree Timelapse
Year 17 of our annual Christmas timelapse!
Tokyo Deaflympics provides abundant gospel opportunities
Read an IMB article with photos by William about ministry at the Deaflympics
Two Thoracotomies in Two Months
Heidi performed two thoracotomies—surgical procedures to open the chest. It has been years since she last did this type of surgery, but she was determined to take on the challenge.
Broadcasting on Mamprugu’s First TV Station
Ghana’s North East Region now has a satellite TV station and William is contributing local Mamprusi content.
FBC Nalerigu’s Children’s Ministry Week
William is honored as the Chairman presiding over First Baptist Church’s annual children’s focus week.
2025 Damba Festival
This year’s Damba Festival in Nalerigu, Ghana was smaller than in recent years but even more enjoyable.
Reconnecting with the Local Churches
Since our arrival, we’ve been making it a point to visit as many of the local churches as possible to greet them and let them know of our return.









